I have broken bones before. This was different because it was my first broken bone since my diagnosis of multiple sclerosis. I did not think the disease would make a difference. I was wrong.
After stumbling home from my fall and recovering from my sob fest, I became aware of my throbbing hand. I realized I had been cradling it to my chest. The pain was not that bad. I thought it hurt mostly from being cold. I slowly peeled off my glove, a harder task than it should have been. It was already swelling. I suspected it was broken. The pain was different. It was not what I had become accustomed to after hitting the pavement.
Nevertheless, I pulled myself together and continued on with my evening. I had chores and a mouth to feed (my own). The throbbing settled into a steady pain as I fumbled through dinner. My right side is affected by the MS. I have decreased feeling and sensation. I knew the pain I was feeling was probably much greater than what my body was able to tell me. I called it a day and retired to the couch with an ice pack.
My work tasks the next day started to confirm my suspicions about my hand being fractured. The simple act of rubbing my hands together to clean them was uncomfortable. Pulling my gloves off after every patient even more so. I began donning larger gloves on my right hand. I was still not convinced enough to get an X-ray, though.
The biggest thing that led me to seek medical attention was that I had recently purchased a new piece of exercise equipment and wanted to be sure it was okay to use. After three days of worsening bruising and swelling, I went to the radiologist and asked if he would order an X-ray.
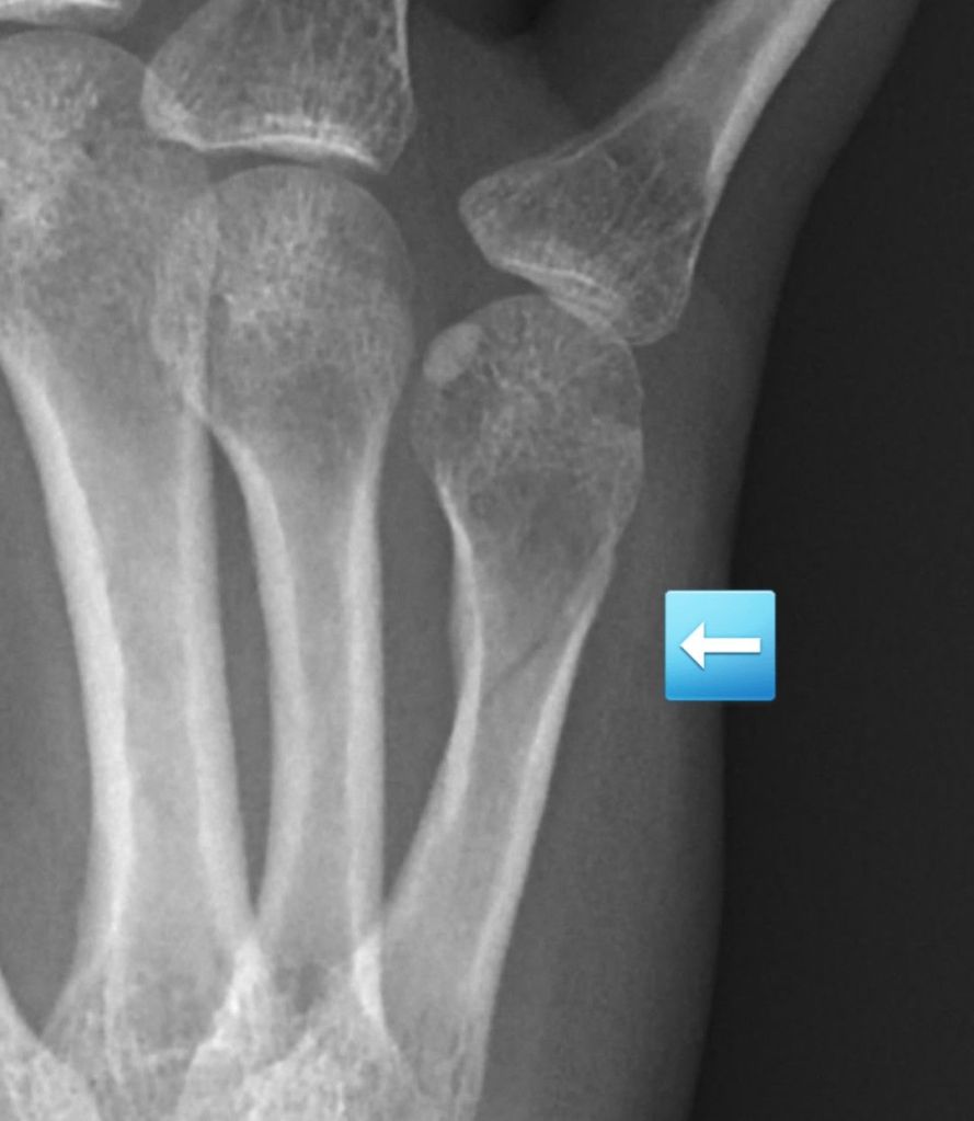
The x-ray confirmed a nondisplaced fracture of my fifth metacarpal, the bone in your hand that attaches to the pinky finger. I was bummed about not getting to use my new exerciser, but happy that the fracture was small and should have no issues healing.

A perk of my job is having a great work family. I walked to the orthopedic department next door and told one of the providers what was happening. They looked at the x-ray and agreed with the radiologist that it was a simple fracture. I was given a splint to wear. The fracture was so insignificant it did not even need to be put in a cast.
The problem started a few days later. I have muscle spasticity because of the MS. My arm will contract and relax through the night in a series of relentless spasms. It is not painful. I feel my muscles contracting and then my arm, hand, and fingers stretch out in a motion I cannot control. Other than occasionally waking me, it has never been an issue. However, now that my hand was broken, it was a huge problem.
My small insignificant fracture was being pulled apart with every muscle contraction. I would wake in the middle of the night with my fingers splayed out and extended in unnatural ways. I would ride the wave of pain in my hand until the spasm stopped. I had no choice. All I could do was grab my hand to keep the movement from worsening. I was sleeping in my splint, but it was no help. Every morning my hand would hurt more than it did the day before.
It was important to keep my fingers straight. However, the spasms were constantly hyperextending them. Then a new phenomenon started. After my fingers splayed out in unnatural positions after a spasm, they would snap closed into a clenched fist. I could not stop it. I had zero control over my own hand. The pain when my fingers closed would steal the air from my lungs as I gasped in both pain and surprise. I did not need an x-ray to know the fracture was worsening. The pain, my disfigured hand, and the continued bruising and swelling were enough.
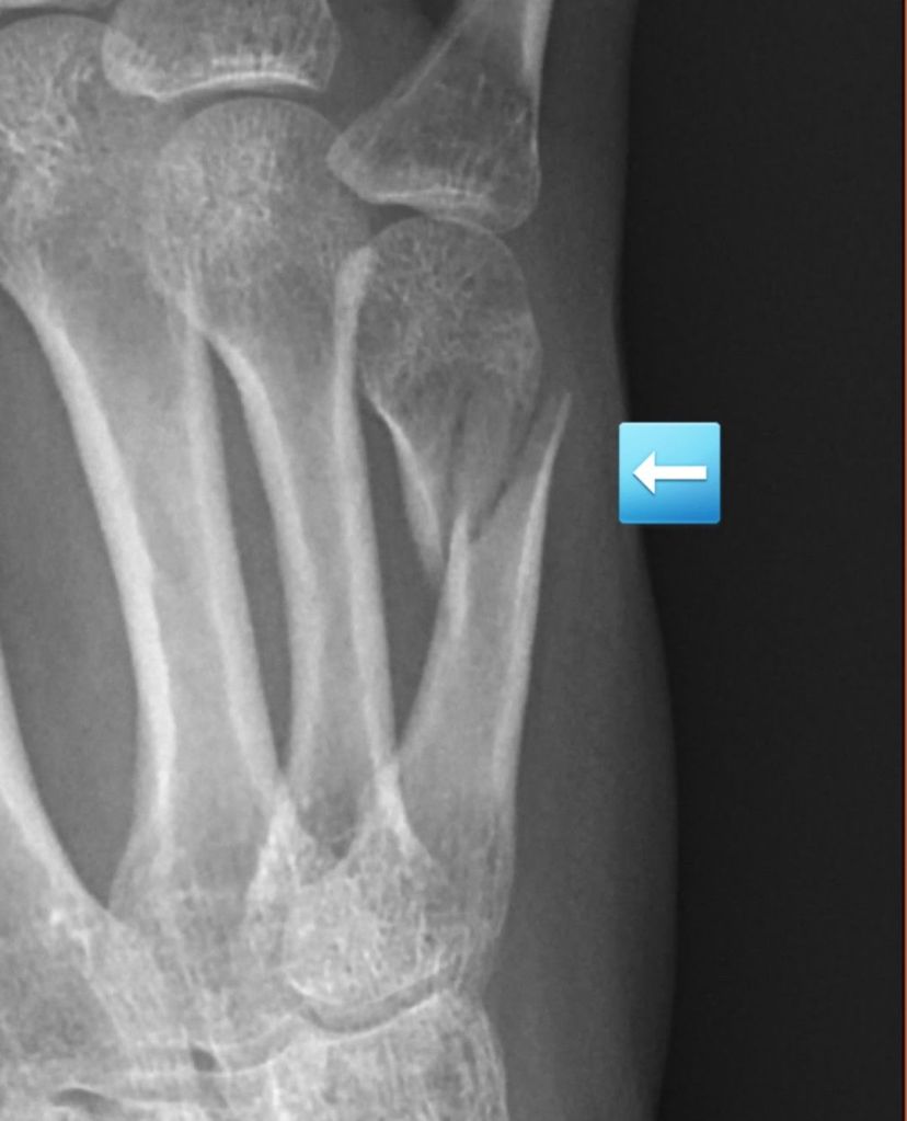
Nevertheless, three weeks rolled around and it was time to take another x-ray. I looked at my coworker as he placed the lead apron over my lap and chest and told him I did not expect good news. He said it would be fine. We say that to all our patients. I knew better though. After the second image, he returned to the room shaking his head. “You’re right”, he said.

My nondisplaced fracture had completely shifted. If it had been a larger bone, it would have protruded from the skin. I went from an uncomplicated break that did not even need a cast to now needing surgery. My world crumbled. I was immediately terrified and overwhelmed with thoughts. My anxiety took control. I was afraid of the consequences of the anesthesia on my MS. I was terrified of not being able to use my hand for an extended period and whether I would ever regain strength and function. I was worried about the sick time I would have to blow through. I need that time for when I truly am disabled and can no longer work.
I gathered myself and consulted orthopedics. My work family once again pulled through. A trusted hand surgeon, whom I had worked closely with in the past, happened to be on campus that day for interviews. She agreed to walk across the street to see me.
She confirmed the need for surgery. I told her my concerns. She listened intently. She was caring and compassionate in her responses. She explained that my fracture would eventually heal without surgery. However, my pinky finger would permanently cross under my ring finger when I made a fist. I said I could live with that. To further cement my decision, she could make no guarantee concerning the effect the spasms would have on healing after surgery.
I felt my mind was made up, but I still needed to weigh my options.
- If you or someone you know is struggling or in crisis, help is available. Call or text 988 or chat 988lifeline.org
- Disaster Distress Helpline: CALL or TEXT 1-800-985-5990 (press 2 for Spanish)
